Wywiad:
duży szwajcarski pies pasterski, 7 l, suka kastrowana
pies na co dzień bardzo energiczny
od wczoraj nieco spokojniejsza, pokłada się jakby coś ją bolało
dziś rano wykonywane było USG poglądowe, skierowana na zabieg splenectomii z powodu dużego guza śledziony
właścicielka około roku temu wykonywała USG szczegółowe, w którym stwierdzono sporą torbiel nerki, o czym nie wspomniano w obecnym opisie
właścicielka zdecydowała o powtórnym USG, które miałam przyjemność wykonywać
W USG stwierdziłam:
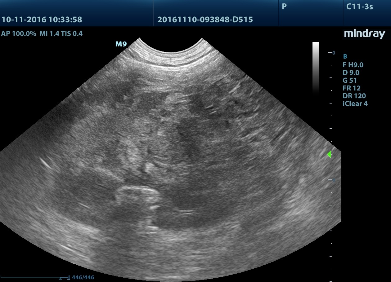
Okolicznie do lewej nerki obecność dużej, ok. 10-11 cm, owalnej struktury, heteroechogennej, w obrazie jak litej, jednak bez uchwytnego przepływu krwi (zdarza się, że nie wyłapujemy w badaniu dopplerowskim przepływu w drobnych, poskręcanych naczyniach, więc brak widocznego przepływu nie musi oznaczać braku unaczynienia zmiany).
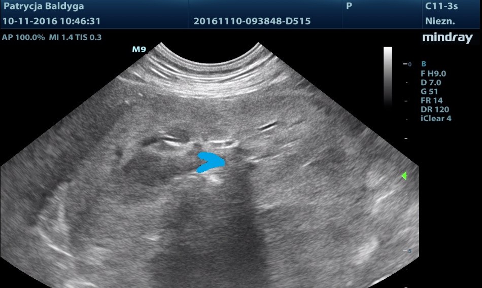
Po dokładnym przeskanowaniu zmiany w różnych przekrojach wyraźnie widać, że jej pochodzenie jest nerkowe, obraz sugeruje duży guz nerki. Na niebiesko zaznaczona nieznacznie, do ok. 3 mm poszerzona miedniczka nerkowa, patrz: film i zdjęcie 2.


Nieco zastanawiający jest kolejny skan, na którym nerka ma całościowy, prawidłowy zarys, a wydaje się, że 10 cm guz raczej deformowałby nerkę w bardziej znaczący sposób, ale to tylko moje przemyślenie.
Obrys prawidłowego nadnercza lewego.

Podejrzenie:
Ponieważ nie uwidoczniłam torbieli nerkowej, o której wspominała właścicielka, do głowy przyszło mi jej pęknięcie.
Pod uwagę brałam krwiak okalający nerkę, guz.
Rozpoznanie:
Laparotomia uwidoczniła dużego krwiaka podtorebkowego oraz pękniętą torbiel nerki o czym świadczyło głębokie wyżłobienie na powierzchni neki lewej.


Wynik HP IDEXX:
Nerka: mezangialne, rozplemowe zapalenie nerki, łagodne, przewlekłe, wieloogniskowe.
Okołonerkowa tkanka miękka: wylew krwawy, ostry, wieloogniskowy do zlewającego się, umiarkowany do znacznego.
Komentarz:
Pęknięcia torbieli, które nie są powikłane bakteryjnie, a w tym przypadku nie stwierdzono zakażenia, zdarzają się niezwykle rzadko, dlatego ten przypadek uznaję za warty zakładki CIEKAWE PRZYPADKI,
następne wkrótce...
pozdrawiam, lek. wet. Patrycja Bałdyga- Kacprzak