Wywiad:
pies, mieszaniec, 12 l, samiec, kastrat
pierwsza wizyta w styczniu- w ciągu ostatnich 2 dni zielonkawe wymioty kilkukrotnie
kolejne wizyty w kwietniu, maju- samopoczucie dobre jednak okresowo wymioty i gorączka, nieznaczna, powolna utrata masy ciała
wizyta w czerwcu- powiększający się obrys brzucha
Opisy USG:
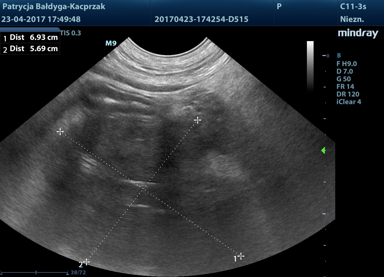
Styczeń
Trzustka powiększona, miąższ hipoechogenny o cechach obrzękowych, szczeg. powiększony płat lewy bliżej trzonu, tu widoczna deformacja lita, ok . 4,4 x 5 cm, zmiana nieco niejednorodnie hipoechogenna, zaokraglona, o nieregularnym brzegu, w okolicy płata lewgo trzustki widoczny wyrażony odczyn zapalny ostry z komp. płynową,
widoczny również w okolicy żołądka oraz szczytu płata lewego wątroby.
Podejrzenie guza/pseudoguza zapalnego trzustki.
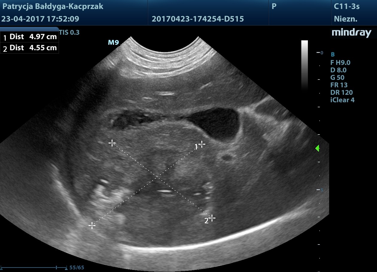
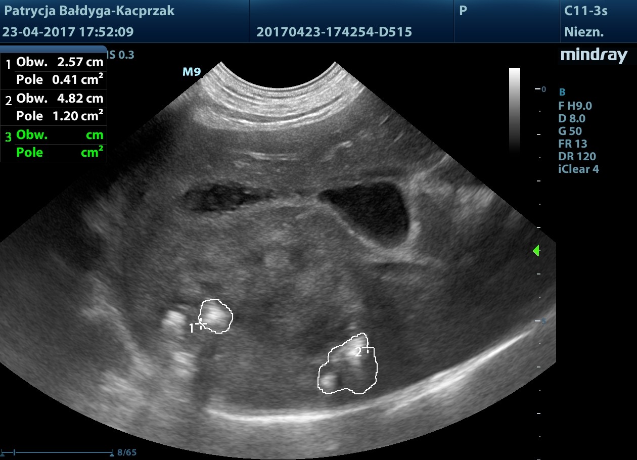
Kwiecień
Guz trzustki powiększył się

- wykonano biopsję aspiracyjną cienkoigłową.
W płatach prawych wątroby widoczne nowe ogniska hiperechogenne, okrągłe ok. 13-31 mm, podejrzenie zmian metastatycznych

pod pęcherzykiem żółciowym zmiana ok 4,5 cm z drobnymi obszarami hiperechogennymi, jak zwłóknieniowymi/mineralizacyjnymi, gazem?

obrys 1- tu lekki cień akustyczny świadczący o twardości zmiany, obrys 2- tu artefakt rewerberacji, mogący sugerować obecność pęcherzyków gazu

Wynik BAC- duże prawdopodobieństwo raka trzustki.
Maj
Widoczne nowe, liczne metastazy w wątrobie, niejednorodnie hiperechogenne, poszczególne wyglądu tarczy, śr. 1-5 cm, modulujące naczynia oraz brzegi narządu.
Czerwiec
W USG płyn w j. brzusznej w dużej ilości, decyzja o eutanazji, sekcja wykazała: krwotok z guzów wątroby

zmianę obejmującą trzon i plat lewy trzustki- twardą, litą z obszarem martwicy w centrum, widać na zdjęciu brązowawy obszar we wnętrzu przekrojonego guza