Colonic carcinoma

Wywiad:
mieszaniec, 1,5 roku, samiec niekastrowany
pies ma zaparcia, zdarza mu się oddać kał z krwią


Opis USG:
Jelito grube w przewadze w st. zapalnym, ściana o zachowanej wartwowości, pogrubiała zap. do 2,5 mm

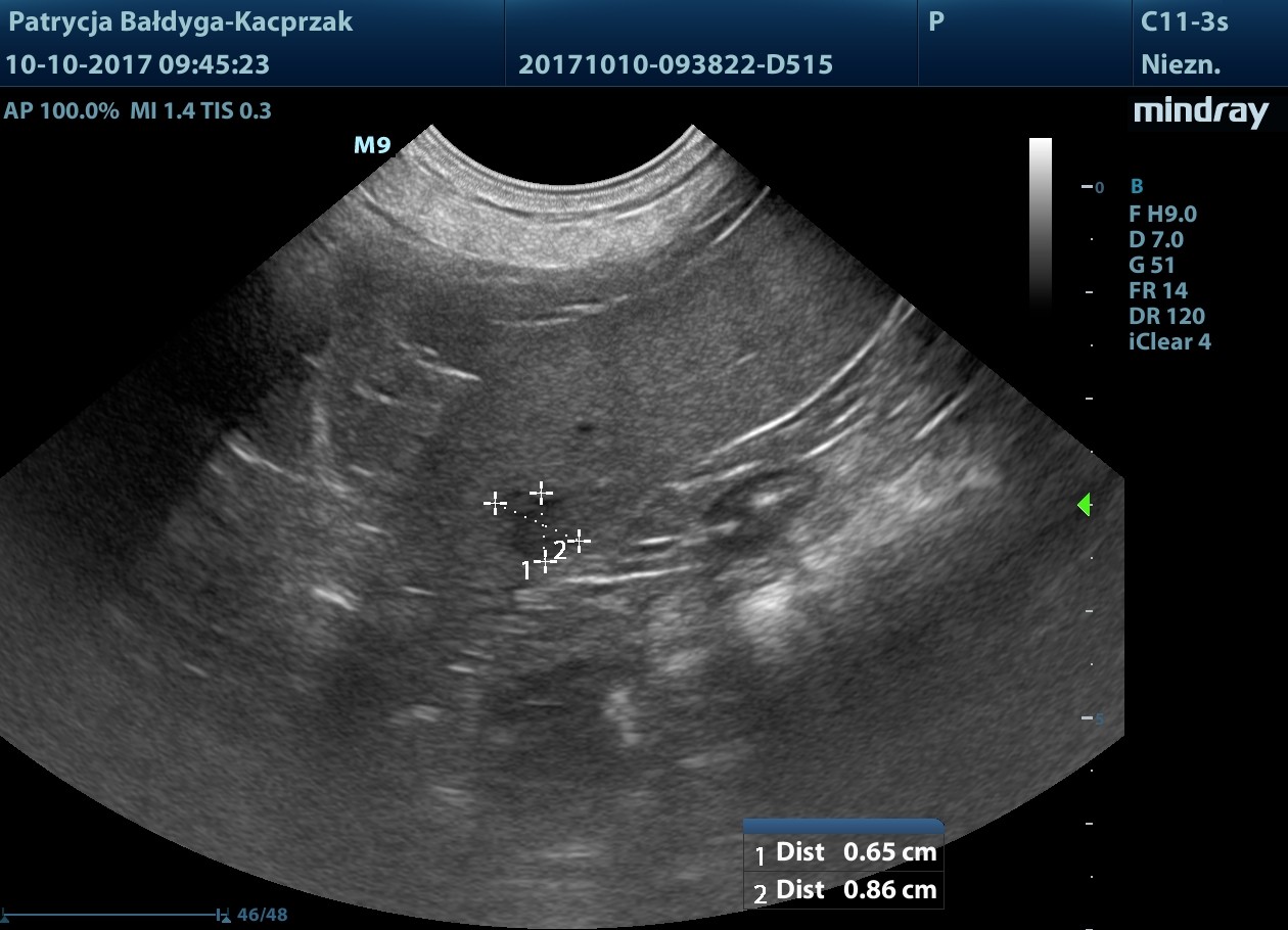
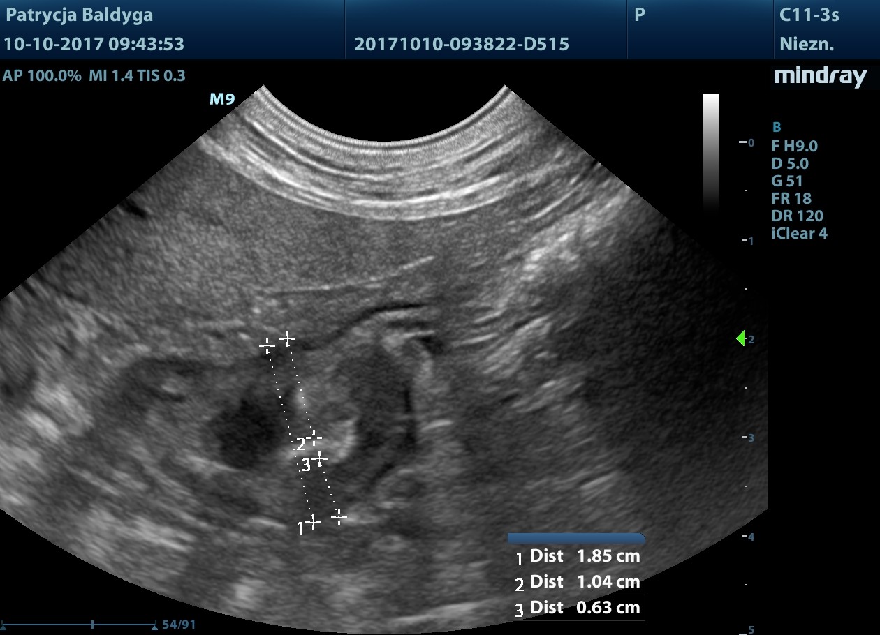
w końcowym odc. okręznicy poprzecznej nadśledzionowo widoczna zmiana ogniskowa

naciekowa, śródścienna, hipoechogenna, niesymetryczna 6-18 mm, dł. 2,5 cm, warstwowość w tym miejscu zatarta, obecny okoliczny, nieznaczny odczyn zapalny (pod koniec filmu 3), ww, chłonne okrężnicze środkowe reaktywne, powiększone, hipoechogenne, zokrąglone, śr. ok. 7-8 mm

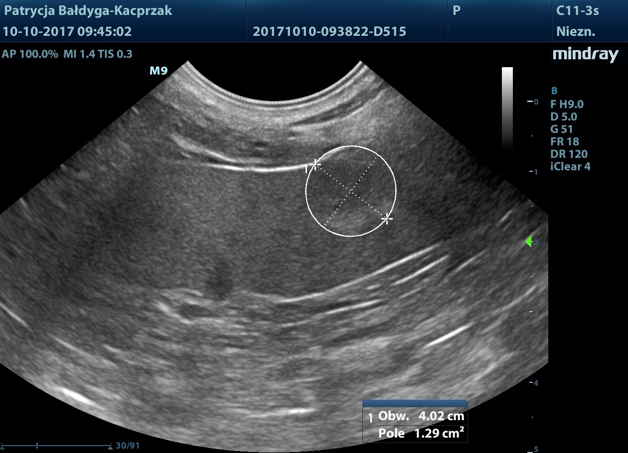
Śledziona niepowiększona, miąższ nieco niejednorodny zobecnością zawnękowo, przyściennie zmiany ogniskowej

słabo odgraniczonej, nieco hipoechogennej w centrum, hiper obwodowo, wielk. ok. 1,2 cm, mniejsza widoczna przedwnękowo, od pow. trzewnej, podtorebkowo śr. ok. 6-8 mm

niejednorodnie hipoechogenna, nieregularna, zmiany nie modulują brzegu narządu, bez cech patognomicznych.
Zmiany w śledzionie i jelicie grubym do różnicowania.

Podejrzenie:
guz złośliwy jelita grubego

Rozpoznanie:
Podczas laparotomii pośrodkowej uwidoczniono:
-śledzionę z dwiema zmianami guzkowatymi
-w dalszej cześci okrężnicy poprzecznej zmianę rozrostową kilkanaście milimertów, zamykającą częściowo światło jelita
-pozostałe narządy jamy brzusznej niezmienione
Podjęto decyzję o enterectomii i splenectomii. Zmiany przesłano do badania HP IDEXX


Wynik HP :
śledziona- łagodna hiperplazja
jelito grube- colonic adenocarcinoma